Skada: Skelettumör
Skelettumör ger ofta smärta, särskilt maligna.
Det finns standardiserat vårdförlopp för sarkom (malign mjukdels- eller skelettumör), detta ska startas vid välgrundad misstanke.
Misstanke om skelettsarkom
Något av följande:
- Djup, bestående skelettsmärta utan annan uppenbar förklaring
eller
- Ensidig svullnad eller vilovärk som kan härledas till skelettet och utan annan uppenbar förklaring
eller
- Palpabel resistens i skelettet
Vid misstanke och patient < 18 år: kontakt med sarkomcentrum samma dag för besked om vidare handläggning.
Vid misstanke och patient ≥ 18 år: patienten ska undersökas med slätröntgen. Om denna är normal men symtomen kvarstår efter 1-2 månader så bör en ny undersökning genomföras.
Välgrundad misstanke om skelettsarkom
Något av följande:
- Misstanke om skelettsarkom vid bilddiagnostik
eller
- Patologisk fraktur utan uppenbar orsak
eller
- PAD, cytologi eller liknande som utförts av annan orsak men som visar misstanke om skelettumör
Notera att man inte ska ta PAD själv vid misstanke om skelettsarkom utan överlåta det till sarkomcentrum!
Handläggning
Vid välgrundad misstanke om skelettsarkom enligt ovan: skriv akutremiss till sarkomcentrum.
Benigna tumörer
Några exempel på benigna skelettumörer:
- Enchondrom: broskbildning i ben, ofta i metafys. Lobulerad, "popcorn-utseende". Behöver ej åtgärdas.
- Kondroblastom: broskceller, vanligast i metafys hos unga. Kan ge värk, stelhet och svullnad och behöva åtgärdas med utskrapning och cementering, ev. RF-behandling hos barn.
- Enkel bencysta: unikameral med sklerotisk kant, sitter metafysärt, upptäcks inte sällan i samband med patologisk fraktur. Behöver inte behandlas, vid patologisk fraktur så behandla frakturen på normalt sätt.

Enkel bencysta med fraktur, andra bilden efter 8 månader, på väg mot utläkning
- Aneurysmal bencysta: multilobulär förändring, ser "uppblåst" ut, är fylld med blod, gör ont. Benign men bör åtgärdas med lokal injektion av Aethothoxysklerol®. Remiss till tumörortoped vid misstanke.

Aneurysmal bencysta lateralt i nyckelben
- Osteoidosteom: litet nidus med periost runt, syns bäst på DT. Ger nattlig värk hos barn, smärtlindras bra med COX-hämmare. Läker spontant, kan behandlas med RF-behandling.

Exempel på osteoid osteom i distala femur
- Hemangiom: kärlmissbildning, vanligt i ryggkotor. Ger förtjockade trabekler. Asymtomatisk. Kan behöva åtgärdas i sällsynta fall vid aggressiv växt.
- Osteokondrom: en typ av exostos med kommunikation med benmärg, är broskbeklädd, sitter oftast metafysärt. Kan ge smärta och då behöva opereras.
- Jättecellstumör: jättestora osteoklaster som växer epi-/metafysärt, oftast vid 20-40 års ålder. Kan ge smärta och behöva åtgärdas med Denosumab som ger snabb och god smärtlindring, förbenar tumör under 6 månader, sedan kirurgi med utskrapning och bencementering.
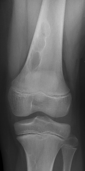
- Non-ossifying fibroma = NOF: felaktig ossifikation, oftast hos pojkar 5-15 år i metafys av långa rörben, lytiskt, "bubbligt" utseende med sklerotiska kanter. Kan ge fraktur som i så fall behandlas på vanligt sätt. Kan någon enstaka gång opereras med curettage och bengraft vid stor påverkan på kortex med frakturrisk. Brukar annars läka spontant, kan följas med röntgenkontroller årligen. [2]

Två exempel på NOF i distala femur
Metastas
Vid okänd primärtumör
- Basal tumörutredning:
- Inspektera hudkostym, palpera lymfnoder, tyroidea, per rektum, bröst, testiklar
- Gynekologkonsult (hos kvinnor)
- Provtagning med SR, CRP, blodbild med diff, elektrolytstatus, leverstatus, laktathydrogenas, kalcium, PSA (hos män), tyroideaprover, blod- och urin-elfores, urinsticka, F-Hb x 3
- DT thorax och buk med kontrast om möjligt, skintigrafi för att utreda ev. ytterligare metastas, mammografi (hos kvinnor)
- Remiss till SVF okänd primärtumör
- Kontakt med onkolog/hematolog
- Ofta kotbiopsi
- Man kan följa utredningsmall
Ofta beror lytiska tumörer på lung- eller bröstcancer, sklerotiska på prostatacancer.
Vanliga primärtumörer
- Prostatacancer, ger sklerotiska metastaser, ofta högt PSA (> 50 μg/l)
- Bröstcancer, ger både lytiska och sklerotiska metastaser
- Lungcancer, ger lytiska metastaser
- Njurcancer, ger lytiska metastaser, kan ge singelmetastas och kan då gå att bota
- Thyreoidea, kan ge singelmetastas och kan då gå att bota
Profylax
Vid primärtumör bör man inte märgspika då man riskerar att sprida tumören, vid mestastas är sjukdomen redan spridd.
Vid försvagning av kortex med exempelvis minst 50 % av kortex engagerad, belastningssmärta ochförväntad överlevnad t.ex. > 6 månader kan det vara indicerat med profylaktisk åtgärd såsom märgspikning av femur.
ICD-10
- C40.0: Malign tumör i skapula och övre extremiteternas långa ben
- C40.1: Malign tumör i övre extremiteternas korta ben
- C40.2: Malign tumör i nedre extremiteternas långa ben
- C40.3: Malign tumör i nedre extremiteternas korta ben
- C40.8: Malign tumör i extremiteternas ben och ledbrosk med övergripande växt
- C40.9: Ospecificerad lokalisation av malign tumör i extremiteternas ben och ledbrosk
- C41.2: Malign tumör i kotpelaren
- C41.3: Malign tumör i revben, sternum och klavikel
- C41.4: Malign tumör i bäckenben, sakrum och koccyx
- C41.8: Malign tumör i ben och ledbrosk med övergripande växt
- C41.9: Ospecificerad lokalisation av malign tumör i ben och ledbrosk
- D16.0: Benign tumör i skulderbladet och övre extremitetens långa ben
- D16.1: Benign tumör i övre extremitetens korta ben
- D16.2: Benign tumör i nedre extremitetens långa ben
- D16.3: Benign tumör i nedre extremitetens korta ben
- D16.6: Benign tumör i kotpelaren
- D16.7: Benign tumör i revben, bröstben och nyckelben
- D16.8: Benign tumör i bäckenben, sakrum och koccyx
- D16.9: Ospecificerad lokalisation av benign tumör i ben och ledbrosk
- D18.0: Hemangiom, alla lokalisationer
Referenser
- Standardiserat vårdförlopp skelett- och mjukdelssarkom på cancercentrum.se (besökt 2019-12-29)
- Non-Ossifying Fibroma på orthobullets.com (besökt 2023-07-27)
Uppdaterad: 2024-02-19 17:42:07 av Lars Johanson