Skada: Fraktur höft
Klassificering
Delas in i:
- Cervikal, fraktur av kollum femoris. Klassificeras enligt Garden som bedöms på frontalbild. Det finns något olika tolkningar av denna klassifikation. Ofta används istället "Garden 1-2" för odislocerad eller måttligt dislocerad fraktur och "Garden 3-4" för mer dislocerad.
- Garden 1: inkomplett fraktur med intakt inferior kant, kan vara valgusställd [1]

- Garden 2: genomgående fraktur utan annan felställning än kompression [1]

- Garden 3: genomgående fraktur med kontakt inferiort, varusställd [1]

- Garden 4: genomgående fraktur, parallellförskjuten, kaput ligger rätt i acetabulum [1]

- Pauwels typ 3: Pauwels delade in kollumfrakturer i vinkel mellan frakturen och en horisontell linje. Vinkel > 50° klassificeras som Pauwel grad 3 [6] och dessa läker sämre än vid mindre gradantal och bör inte fixeras med LIH-spik eller liknande utan hellre med DHS [7].
- Basocervikal: fraktur precis vid kollums distala gräns mot trokanterområdet. Om frakturlinjen distalt går > 1 cm proximalt om trokanter minor så räknas det som kollumfraktur, om den går nedanför trokanter minor så räknas den som pertrokantär, sådan fraktur kan vara instabil och behöva protes [4]

- Pertrokantär femurfraktur (PTFF): fraktur genom trokanterområdet

- Subtrokantär femurfraktur: laterala frakturlinjen går distalt om trokanter minor, ner till max 5 cm distalt om trokanter minor. I AO:s klassifikation finns inte begreppet subtrokantär fraktur, nedanför trokanter minor räknas det som diafysär fraktur.

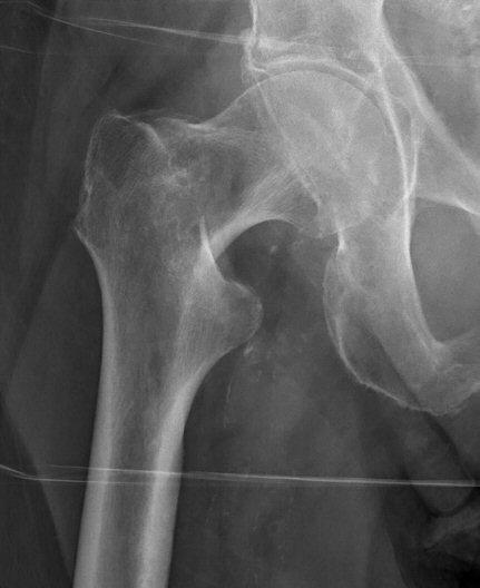
Subtrokantär femurfraktur
På akuten
- Ofta kommer patienten direkt till avdelning, inskrivning görs då där. Om patienten kommer till akuten så ska denne handläggas med förtur.
- Anamnes, se frågeformulär.
- Lägg femoralisblockad:
- Palpera a. femoralis.
- Markera en punkt ca 2 cm lateralt/distalt.
- Sprita av.
- Dra upp 20 ml Ropivacain.
- Injicera med svart nål, för in hela nålen, aspirera innan injektion så du inte injicerar i a. femoralis. En del lägger bedövning i solfjädersform, andra inte.
- Sidomarkera.
- Lyssna på hjärta/lungor.
- Inspektera förväntat operationsområde - sår?
- Kontrollera distalstatus.
- Anmäl för operation inom 24 timmar, ring operationsplaneringen och akutoperatören och meddela.
- Collumfraktur (hanteras olika på olika kliniker)
- Odislocerad (Garden 1 eller 2) och ej RA, artros, patologisk fraktur eller äldre fraktur: LIH-spikning
- Dislocerad (Garden 3 eller 4):
- SU:
- > 85 år: cementerad halvplastik.
- 70-85 år:
- God kognitiv förmåga och gångare utan hjälpmedel: cementerad helplastik
- Annars halvplastik.
- 60-70 år: cementerad helplastik
- 50-60 år: i första hand LIH-spikning snarast möjligt, ev. cementerad helplastik
- < 50 år: LIH-spikning eller kannulerade 7,3 mm skruvar snarast möjligt
- SÄS:
- < 65 år: i första hand LIH-spikning snarast möjligt
- < 80 år: cementerad helplastik.
- ≥ 80 år, kognitivt intakt och med höga funktionskrav: cementerad helplastik.
- ≥ 80 år annars: cementerad halvplastik.
- Basocervikal, odislocerad: DHS-platta eller kort märgspik, behandlas på några ställen med LIH-spik.
- PTFF: kort märgspik alt. DHS-platta (om både laterala och mediala väggarna stabila)
- Subtrokantär: lång märgspik
- Läkemedel:
- Lägg till patientens läkemedel + mallar för resp. höftoperation + LIA höft + mall för fastande.
- Kontrollera vilka läkemedel som ska pausas inför operation, se även Medicinering inför operation.
Under operation:
- Antibiotikaprofylax kloxacillin 2 g i.v. 30 min före operation, upprepas 2 och 6 timmar efter första dosen.
- Vid penicillinallergi så istället Klindamycin 0,6 g i.v. 30 minuter före operation, upprepas 4 timmar efter första dosen.
Efter operation:
- Fysioterapi
- Beräkna 10 års frakturrisk med FRAX. Om ≥ 15 % risk så diskutera om patienten vill ha remiss till osteoporosmottagningen.
- Oftast full belastning dagen efter operationsdagen, undantag:
- komminut fraktur med dålig benkontakt, operatören avgör.
- osteosyntes med spik eller skruv hos ung patient (< 60 år), man kan då överväga stegmarkering 6 veckor och röntgenkontroll efter 6 och/eller 12 veckor för att utreda ev. kaputnekros och haveri.
- Trombosprofylax i 4 veckor (tiden varierar mellan olika kliniker).
- Blodtransfusion vid Hb < 80 eller symtom.
- Agrafftagning 2-3 veckor postoperativt på mottagningen.
ICD-10
- S72.00 : Kollumfraktur, sluten
- S72.01 : Kollumfraktur, öppen
- S72.10 : Pertrokantär fraktur, sluten
- S72.11 : Pertrokantär fraktur, öppen
- S72.20 : Subtrokantär fraktur, sluten
- S72.21 : Subtrokantär fraktur, öppen
Länkar
- Garden RS. Low-angle fixation in fractures of the femoral neck. The Journal of Bone and Joint Surgery. British volume. 1961 Nov;43(4):647-63. (besökt 2020-10-31)
- Höftfraktur - Operationstekniker, SÄS (besökt 2024-12-21)
- Läkartidningens ABC om höftfrakturer från 2017
- Föreläsning av Per Hulenvik och Alicia Bojan på VISOK Trauma nedre extremitet 2025-03-28
- Nationellt vårdprogram för höftfraktur (besökt 2025-03-28)
- PAUWELS, Friedrich. Der schenkelhalsbruch: ein mechanisches Problem. In: Gesammelte Abhandlungen zur funktionellen Anatomie des Bewegungsapparates. Berlin, Heidelberg: Springer Berlin Heidelberg, 1935. p. 1-138 (besökt 2026-03-26)
- LIPORACE, Frank, et al. Results of internal fixation of Pauwels type-3 vertical femoral neck fractures. JBJS, 2008, 90.8: 1654-1659. (besökt 2026-03-26)
Uppdaterad: 2026-03-26 10:07:22 av Lars Johanson