Operation: DVR-platta
Definitioner
DVR = Distal Volar Radius plate
Watershed line: upphöjning distalt, volart på radius där ledkapseln fäster. Volar platta ska inte sättas distalt om denna, den kommer i så fall att störa flexorsenor, det är också sämre blodförsörjning distalt vilket kan leda till avaskulär nekros.
Indikationer
Kontraindikationer
Förberedelser
- Läs manualen.
- Ryggläge.
- Antibiotikaprofylax: 1 dos 2 g kloxacillin 30 minuter innan operationsstart.
- Genomlysning med C-båge.
- Manschett för blodtomt fält.
- Partikeltäta operationskläder (ortopedkläder) och röntgenskydd.
Utförande
- Sätt blodtomt fält (i max 2 timmar), antingen 250 mm Hg eller systoliskt blodtryck + 70-100 mm Hg (max 300 mm Hg).
- Lokalisera FCR (flexor carpi radialis) volart om handleden, radialt om palmaris longus, proximalt om tuberkulum skafoideum. Senan går ofta att känna med fingrarna.
- Gör ett längsgående, rakt snitt över FCR, från strax proximalt om handled och ca 8 cm långt.
- Gå vasst ner till senan, var uppmärksam på n. medianus (ligger djupare och mer ulnart).
- Skär längsgående igenom senskidan.
- Sätt självhållande hake som för FCR ulnart. N. medianus finns där, a. och v. radialis finns radialt.
- Skär längsgående igenom botten på senskidan.
- Preparera trubbigt med finger ner till m. pronator quadratus.
- Lokalisera radius radiala och ulnara kanter, exempelvis med pincett eller rasp
- Skär längsgående rakt igenom m pronator quadratus, ända genom periostet. Lös med rasp av hela paketet med muskel och periost från hela radius bredd så det går att suturera tillbaka mot slutet av operationen. Man ska kunna se hela radius bredd, använd gärna självhållande hake eller frakturhållartång av krokodiltyp som fästs runt radius för att hålla undan muskulatur och se bättre.
- Lokalisera frakturen, rensa och spola vid behov i frakturspalten.
- Välj plattstorlek, ofta 7-hålsplatta med 3 skruvar proximalt.
- Det är ofta bra att sätta plattan först och sedan reponera mot denna.
- I sidoled så sikta på mitten av radius.
- I längsled så vid en "vanlig" fraktur är det ofta lagom att sätta proximala peggraden i frakturnivå.
- Borra med 2,5 mm borr mitt i det avlånga hålet, mät och sätt fast med en skruv (ofta runt 12 mm).
- Reponera frakturen mot plattna, ofta genom radiellt drag och kraftig flektion i handled. Håll handleden så med ena handen och kontrollera läget i genomlysning.
- Vid behov kan man reponera frakturen med kapandji-teknik:
- För in stift (1,6 eller 2 mm) genom huden radiodorsalt, ungefär i nivå med frakturspalten.
- Försök att hitta frakturspalten, man kan "picka" med spetsen mot benet och leta efter ett hak.
- Tryck för hand in stiftet i frakturspalten.
- Använd stiftet som hävstång och reponera frakturen. Borra med oscillerande teknik, eller slå in stiftet så det sitter fast.
- För vid behov in ett eller två stift dorsalt på motsvarande sätt, reponera även dorsalt. Sätt fast på samma sätt som ovan.
- Vid behov kan man sätta ytterligare k-trådar för att fixera reponeringen.
- Radius lunatumfacett är extra viktig att få i bra läge, volar line of Lewis (förlängd linje vid radius volara kant) ska på sidobild passera lunatum.
- Kontrollera lägen och justera vid behov. Plattan ska sitta rakt över radius med distala kanten proximalt om watershed line. Sätt ett stift i det proximala/ulnara stifthålet i distala delen av plattan, stiftet ska gå några millimeter proximalt om ledspringan.
- Justera tills plattans läge är bra både på sidobild och frontalbild. Om man behöver justera mycket i längsled så kan man borra igen i det avlånga hålet.
- Sätt de proximala peggarna:
- Borra genom guiden genom antingen volara eller båda kortex.
- Mät med mätsticka, när man använder guide så används mätstickans baksida. Peggen ska gå mot, eller genom, dorsala kortex men inte sticka ut. Hos en vuxen man typiskt 22 mm i de två ulnara hålen, 24 mm i det som pekar mot listers tuberkel och 20 mm i det mest radiala hålet.
- Skruva ut guiden, notera peggens riktning.
- Skruva in peggen i samma riktning som du borrat.
- Man brukar använda alla pegghål, om det inte gjorts så skruva bort guiden där det inte satts någon pegg.
- Sätt in de distala peggarna:
- Borra genom guiden genom första kortex.
- Sätt 18 mm långa peggar.
- Man brukar använda alla pegghål, om det inte gjorts så skruva bort guiden där det inte satts någon pegg.
- Sätt kortikala skruvar i den proximala delen av plattan:
- Borra genom båda kortex
- Skruvarna ska gå precis igenom båda kortex, om de sticker ut mer än någon mm så kan de irritera extensorsenor.
- Kontrollera även längd av den preliminära skruven i det avlånga hålet och byt vid behov (ofta låg inte plattan mot benet vid den ursprungliga längdmätningen).
- Kontrollera läget igen, spara undan röntgenbilder. Sidobild med 20-30° vinkel för att se genom leden, vid frontalbild bör armen ligga plant mot bordet.

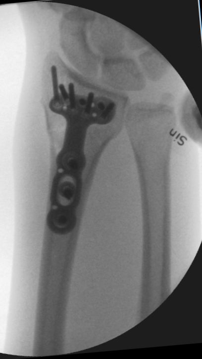
Välplacerad DVR-platta. Sidobilden är inte rak.
- Spola ur såret med koksaltlösning
- Suturera m. pronator quadratus inkl. periost över plattan med resorberbar 3-0-tråd
- Suturera subkutant med resorberbar 3-0-tråd
- Suturera huden med icke resorberbar 4-0 eller 5-0, eller med resorberbar intrakutan sutur.
- Sätt på Mepilex XT eller motsvarande över såret.
- Sätt strumpa, vadd och dorsal gipsskena.
- Skriv operationsberättelse, röntgenremiss och registrera åtgärden i frakturregistret. Postoperativa ordinationer:
- Postoperativ röntgenkontroll innan hemgång.
- I normalfallet gips i 2 veckor, upp till 4 veckor vid avlöst ulnastyloid, komminut fraktur där man inte fixerat alla fragment, äldre patient och/eller diabetes.
- Suturtagning ca 2 veckor postop (kan då alltså behöva gipsas om).
- Arbetsterapi efter avgipsning, normalt rörelseträning direkt men belastning först 6 veckor efter operation.
ICD-10
- S52.5: Fraktur på nedre delen av radius
- S52.50: Fraktur på nedre delen av radius, sluten
- S52.51: Fraktur på nedre delen av radius, öppen
- S52.6: Fraktur på nedre delen av både ulna och radius
- S52.60: Fraktur på nedre delen av både ulna och radius, sluten
- S52.61: Fraktur på nedre delen av både ulna och radius, öppen
Åtgärdskoder (KVÅ)
- NDJ19: Öppen reposition av fraktur i handled eller hand
- NDJ69: Osteosyntes av fraktur i handled eller hand med platta och skruvar
- TND32: Modellerbar skena-Handled och hand
Referenser
- DVR Anatomic Volar Plating System av Biomet (besökt 2020-07-04)
Uppdaterad: 2026-01-20 15:30:54 av Lars Johanson